The Structural Heart and Endovascular Team of the Heart Institute at Chinese General Hospital & Medical Center (CGHMC) continues to advance cardiovascular innovation in the Philippines.
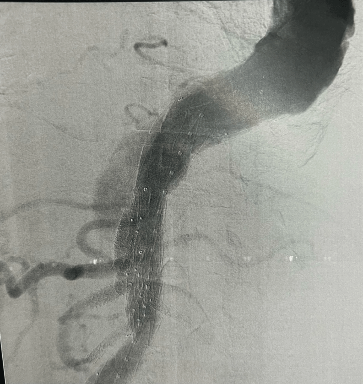
In a landmark procedure, the team successfully performed the country’s first Inner-Branch Endovascular Aneurysm Repair (iBEVAR) for the treatment of a complex thoracoabdominal aortic aneurysm on June 13, 2025, placing CGHMC among advanced vascular centers worldwide capable of performing this highly specialized technology.

The procedure was headed by Dr. Jessielyn Sia, together with Dr. Timothy Dy and Dr. Rector Villajuan, successfully completing the endovascular repair of a complex thoracoabdominal aneurysm in a severely diseased aorta. This milestone follows another national first by Dr. Sia, who previously performed the first TricValve implantation in the Philippines for severe tricuspid regurgitation.
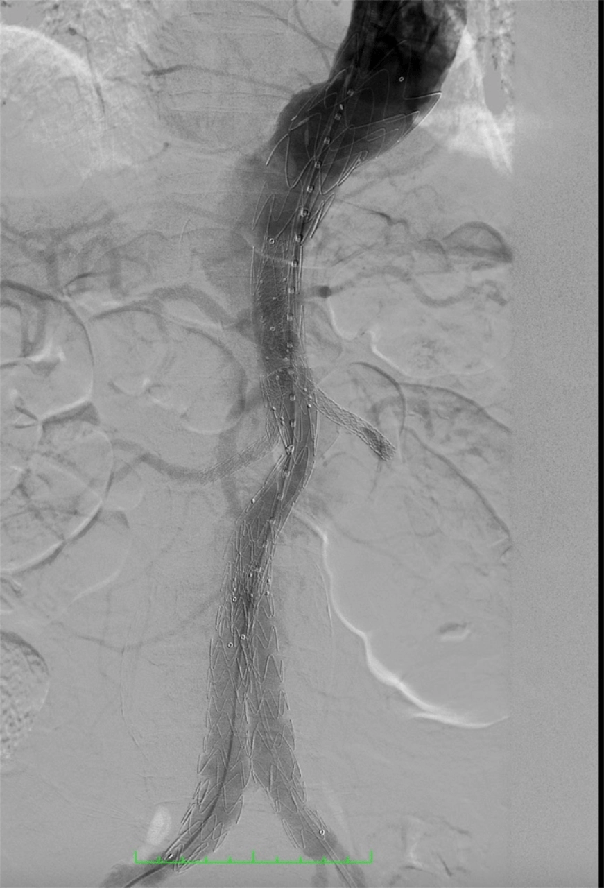
The procedure involved deployment of a custom-made E-xtra Design Multi-branch (EDM) stent graft, with meticulous cannulation and sequential stenting of the visceral arteries via the left brachial approach, including the right renal, left renal, superior mesenteric, and celiac arteries. The iliac limbs were subsequently deployed and optimized with post-dilation.

This complex intervention was performed as part of a staged repair strategy, with the second stage — Thoracic Endovascular Aortic Repair (TEVAR) completed on September 18, 2025 using the Medtronic Valiant system. The staged approach was carefully planned to reduce the risk of spinal cord ischemia during treatment of the extensive thoracoabdominal aneurysm.
Notably, the successful completion of this complex repair required the integration of endovascular technologies from two different device platforms, combining the Artivion E-xtra Design Multi-branch (EDM) stent graft for visceral branch preservation and the Medtronic Valiant thoracic stent graft system for the staged thoracic repair—demonstrating the importance of cross-platform innovation and collaboration to achieve optimal patient outcomes.

The patient has recovered well and demonstrated significant clinical improvement, and is currently doing well six months following the procedure, highlighting the potential of advanced endovascular therapies for complex aortic disease.
This achievement was made possible through collaboration with international and industry partners. The team extends its gratitude to Artivion APAC and Mr. Aman Jain for making the E-xtra Design Multi-branch (EDM) custom-made stent graft available, and to Dr. Tze Tec Chong of Singapore for sharing his expertise and supporting the development of this advanced program. The team likewise expresses its sincere appreciation to Ms. Kristel Tapoc and Mr. Sukit C. of Artivion and Mr. Karl Bustos and Ms. Nikki Arianne Dizon of Medtronic for their invaluable assistance and support.
This case represents an important step forward in expanding advanced endovascular solutions for complex aortic disease in the Philippines.

The CGH Heart Institute remains committed to advancing innovation, strengthening expertise, and providing cutting-edge cardiovascular care for Filipino patients.

Chinese General Hospital & Medical Center – Heart Institute
Advancing Structural and Endovascular Innovation.



